سفید کردن دندانها
سفید کردن دندانها
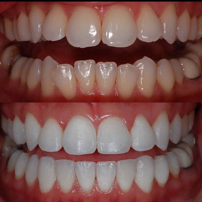
سفید کردن دندانها (بلیچینگ) یکی از روشهای محبوب در دندانپزشکی زیبایی است که به منظور بهبود ظاهر دندانها و افزایش اعتماد به نفس افراد مورد استفاده قرار میگیرد.
این فرآیند به طور کلی شامل استفاده از مواد شیمیایی خاصی است که به از بین بردن لکهها و تغییر رنگهای دندان کمک میکند.
در این مقاله، به بررسی روشهای مختلف بلیچینگ، مزایا و معایب آن، نکات مهم قبل و بعد از انجام بلیچینگ، و همچنین عواملی که میتوانند بر نتیجه نهایی تاثیر بگذارند، خواهیم پرداخت.
انواع روشهای سفید کردن دندانها
1. بلیچینگ در مطب دندانپزشکی:
این روش تحت نظارت دندانپزشک و معمولاً در یک جلسه انجام میشود. در این روش، دندانپزشک از مواد بلیچینگ قویتر و معمولاً نور یا لیزر برای فعالسازی مواد استفاده میکند. این روش معمولاً سریعترین و موثرترین راه برای سفید کردن دندانها است.
2. بلیچینگ خانگی:
در این روش، دندانپزشک قالبهایی برای دندانها تهیه میکند و مواد بلیچینگ را به همراه آنها به بیمار ارائه میدهد. بیمار میتواند این قالبها را در خانه قرار دهد و به مدت چند ساعت در روز یا شب استفاده کند. این روش ممکن است زمانبر باشد، اما معمولاً هزینه کمتری دارد.
3. پاستیلهای بلیچینگ:
این محصولات به صورت آماده و در بستهبندیهای مختلف در داروخانهها موجود هستند. این روش راحت است اما ممکن است نتیجه نهایی آن به اندازه روشهای حرفهای قوی نباشد.
4. پودرها و خمیرهای دندان سفیدکننده:
این محصولات معمولاً حاوی مواد ساینده یا شیمیایی هستند که به کاهش لکهها و تغییر رنگ کمک میکنند. استفاده از این محصولات به تنهایی ممکن است نتایج محدودی به همراه داشته باشد.
مزایا و معایب بلیچینگ دندانها
مزایا:
1. بهبود زیبایی: یکی از بزرگترین مزایای بلیچینگ، بهبود قابل توجه زیبایی دندانها و لبخند است.
2. افزایش اعتماد به نفس: افراد معمولاً پس از سفید کردن دندانها احساس بهتری نسبت به خود دارند و این امر میتواند بر روابط اجتماعی و حرفهای آنها تاثیر مثبت بگذارد.
3. روشهای متنوع: وجود روشهای مختلف بلیچینگ به افراد این امکان را میدهد که گزینهای را انتخاب کنند که با نیازها و بودجه آنها سازگار باشد.
معایب:
1. حساسیت دندان: یکی از عوارض جانبی معمول بلیچینگ، افزایش حساسیت دندانها به سرما و گرما است.
2. نتایج موقتی: معمولاً نتایج بلیچینگ دائمی نیستند و افراد ممکن است نیاز به تکرار فرآیند در آینده داشته باشند.
3. محدودیتها: برخی از لکهها و تغییر رنگها ممکن است به راحتی با بلیچینگ برطرف نشوند و به درمانهای دیگر نیاز داشته باشند.
نکات قبل و بعد از بلیچینگ
قبل از بلیچینگ:
1. مشاوره با دندانپزشک: قبل از شروع هر نوع فرآیند بلیچینگ، مشاوره با دندانپزشک الزامی است. دندانپزشک میتواند وضعیت دندانها و لثهها را بررسی کرده و گزینههای مناسب را پیشنهاد دهد.
2. درمان مشکلات دندانی: در صورتی که دندانها دچار پوسیدگی یا بیماریهای لثه هستند، باید این مشکلات قبل از بلیچینگ درمان شوند.
بعد از بلیچینگ:
1. اجتناب از مواد رنگی: بعد از بلیچینگ، توصیه میشود که از مصرف مواد غذایی و نوشیدنیهایی که میتوانند دندانها را رنگی کنند (مانند قهوه، چای، و توت) اجتناب شود.
2. استفاده از خمیر دندان مناسب: استفاده از خمیر دندانهای حاوی فلوراید و مخصوص دندانهای حساس میتواند به کاهش حساسیت کمک کند.
3. مراجعه منظم به دندانپزشک: برای حفظ نتایج بلیچینگ و بررسی سلامت دندانها و لثهها، مراجعه منظم به دندانپزشک ضروری است.
عوامل موثر بر نتیجه بلیچینگ
1. نوع لکهها: لکههای ناشی از مصرف مواد غذایی، سیگار و قهوه به راحتی با بلیچینگ از بین میروند، اما لکههای داخلی (مانند تغییر رنگ ناشی از مصرف آنتیبیوتیکها) ممکن است نیاز به درمانهای خاص داشته باشند.
2. سلامت عمومی دندانها: دندانهای سالم و بدون پوسیدگی معمولاً نتیجه بهتری از بلیچینگ خواهند داشت.
3. روش انتخابی: انتخاب روش مناسب بلیچینگ (در مطب یا خانگی) میتواند بر کیفیت و سرعت نتایج تاثیر بگذارد.
نتیجهگیری:
سفید کردن دندانها یک روش موثر برای بهبود زیبایی و افزایش اعتماد به نفس است. با این حال، لازم است قبل از اقدام به این کار به مشاورههای دندانپزشکی توجه کنید و از عوارض جانبی و محدودیتهای احتمالی آن آگاه باشید.
انتخاب روش مناسب و رعایت نکات قبل و بعد از بلیچینگ میتواند به دستیابی به نتایج مطلوب کمک کند.
با توجه به پیشرفتهای روزافزون در دندانپزشکی، امیدواریم که روز به روز گزینههای بهتری برای سفید کردن دندانها در دسترس قرار گیرد.
